
|
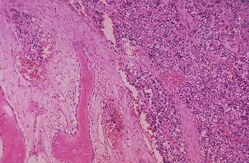
Image 2.4 The lesion is composed of intensely basophilic (blue) staining small round cells seen at the right. The small round cells infiltrate bony trabeculae, with reactive new bone formation seen here at the left. What does this indicate about the biologic behaviour of this lesion? |
|