Image 12
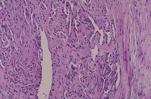
This pelvic vein thrombus demonstrates organization. Note the granulation tissue with capillary proliferation and the attachment of the thrombus to the vessel wall.