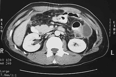
Click on the abdominal abscess in the CT scan above:

This computed tomographic (CT) imaging scan of the abdomen in axial (transverse) view demonstrates an abscess adjacent to the descending colon in a patient who had a ruptured colonic diverticulum.