
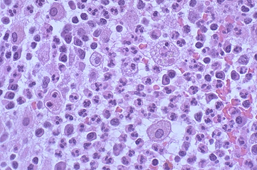
| Of course, inflammatory reactions are not neatly categorized by cell type. A variety of inflammatory cell types may be present, though one may predominate. Seen here are mainly neutrophils, but there are also plasma cells, lymphocytes, and macrophages. Macrophages can phagocytoze other cells as well as cellular debris. One macrophage here has "pigged out" by consuming a neutrophil, a red blood cell, and a nuclear fragment. |
![]() |