
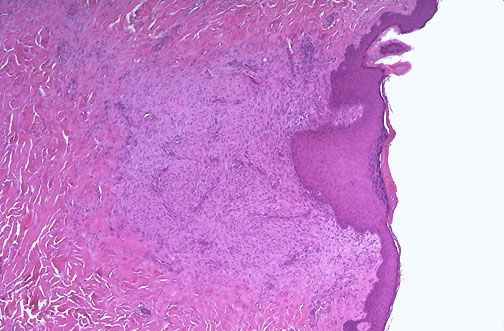
| This is a healing biopsy site on the skin seen a week following the excision, The skin surface has re-epithelialized, and below this is granulation tissue with small capillaries and fibroblasts forming collagen. After a month, just a small collagenous scar will remain. |
![]() |