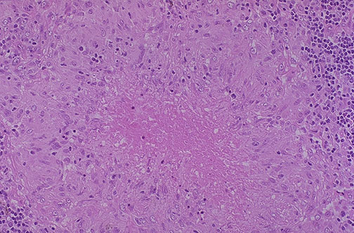
This is a caseating granuloma. Epithelioid cells surround a central area of necrosis that appears irregular, amorphous, and pink. Grossly, areas of caseation appear cheese-like.