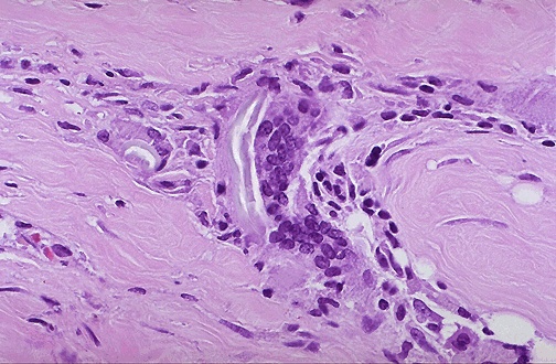
Two foreign body giant cells are seen just to the right of center where there is a bluish strand of suture material from a previous operation.