 |
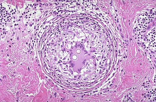
Granulomatous inflammation occurs in response to some agents which persist for a long time and require a more orchestrated immune response to fight them. The granuloma seen here demonstrates the typical rounded and focal nature of this type of inflammation. A couple of spherules of C. immitis are present in the giant cell in the center. |