
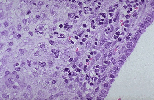
| Chronic inflammation is more difficult to understand, because it is so variable. Seen here is chronic endometritis with lymphocytes as well as plasma cells in the endometrial stroma. In general, the inflammatory infiltrate of chronic inflammation consists mainly of mononuclear cells ("round cells"): lymphocytes, plasma cells, and macrophages. |
![]() |