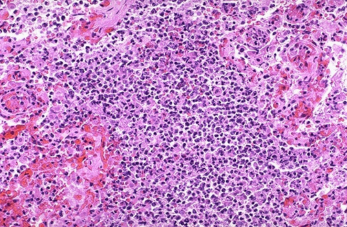
Microscopically, the extensive neutrophilic exudate of an acute abscessing pneumonia is seen here. Normal tissues are destroyed in the region of the abscess.