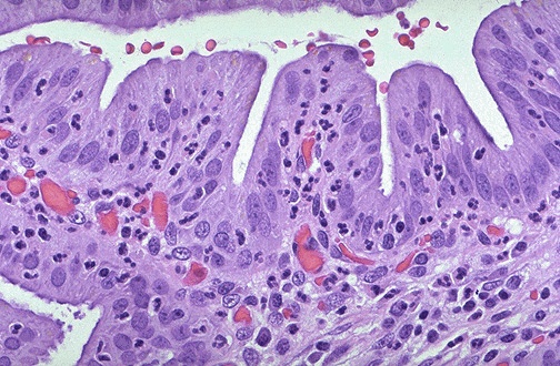
The neutrophils are seen infiltrating the mucosa and submucosa of the gallbladder in this patient with acute cholecystitis and right upper quadrant abdominal pain with tenderness on palpation.