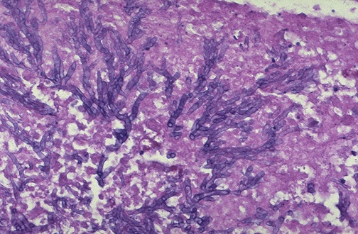
Here are branching Aspergillus hyphae.