
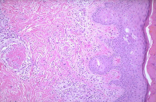
| There is vascular thrombosis in the dermis of the skin in this patient with antiphospholipid syndrome (APS). This syndrome results from presence of autoantibodies directed against anionic phospholipids, such as cardiolipin. This syndrome can occur in patients with SLE, and the antibody interferes with coagulation assays, giving it the name "lupus anticoagulant." However, in vivo, patients have a hypercoagulable state with recurrent arterial and venous thromboses. In preganancy, APS can lead to fetal loss. |
![]() |