
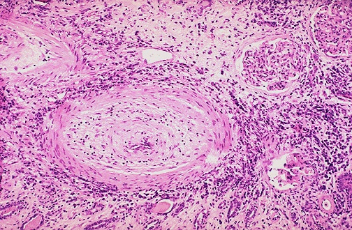
| At high magnification, the renal arteries with chronic vascular rejection are markedly thickened and fibrotic. There is interstitial fibrosis and chronic inflammation. Such chronic rejection usually occurs slowly over several months to years following transplantation. This form of rejection, unlike acute cellular rejection, is difficult to treat. |
![]() |