
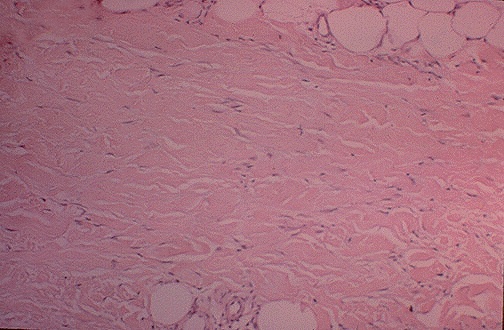
| At high magnification, the dermis is expanded by dense collagenous fibrosis in a patient with systemic sclerosis. Immunofluorescence staining of the skin is not helpful with scleroderma, since immune complex deposition is not a prominent feature of this disease. |
![]() |