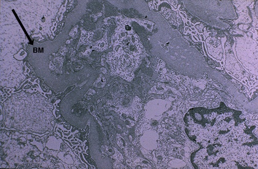
The thickened basement membrane (arrow) that results from immune complex deposition in the glomerular capillary loop is prominent in this electron micrograph. The dark immune deposits are located mainly in a subendothelial position.