
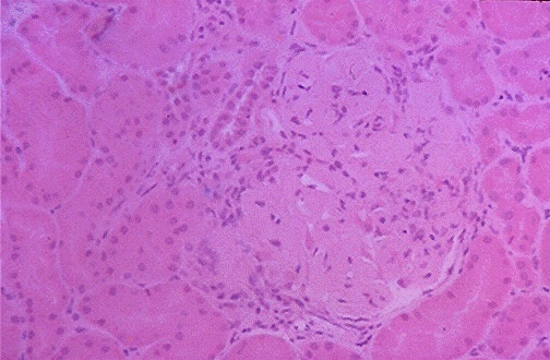
| One of the feared complications of the autoimmune diseases is renal failure. This is most likely to occur with SLE and the diffuse form of scleroderma. Here is a glomerulus in which the capillary loops are markedly pink and thickened such that capillary lumens are hard to see. This is characteristic for lupus nephritis. |
![]() |