
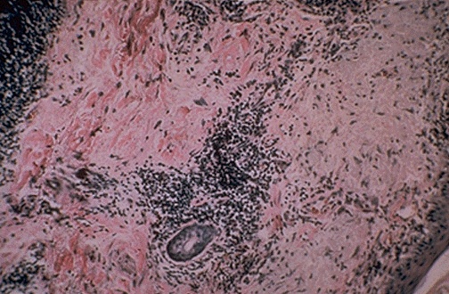
| Histologically, the skin of a patient with SLE may demonstrate a vasculitis and dermal chronic inflammatory infiltrates, as seen here. Vasculitis with autoimmune disease (often related to deposition of antigen-antibody complexes) can occur in many different organs and can lead to the often confusing signs and symptoms of patients with rheumatic diseases. [Image contributed by Elizabeth Hammond, MD, University of Utah] |
![]() |