
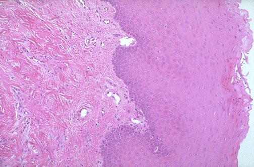
| The term "leukoplakia" applied to the oral mucosa simply means that a "white plaque" is present and represents thickening of the squamous epithelium in response to an irritation. In the excised lesion shown here, the overlying squamous epithelium is thickened and the underlying submucosa has increased collagen, leading to the diagnosis of "irritation fibroma" in a patient with ill-fitting dentures. Leukoplakia can be a precursor to squamous atypia and carcinoma. |
![]() |