 |
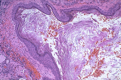
Severe inflammation from otitis media and/or rupture of the tympanic membrane of the middle ear may result in the trapping of squamous epithelium that starts to grow, expanding as a cystic mass lesion that can erode surrounding structures such as the mastoid. Shown here is the wall of such an excised cyst. The center of the cyst is filled with keratinaceous debris. |