 |
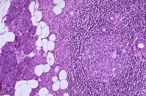
The enlarged parotid gland seen here at low power has extensive lymphoid infiltrates and even a germinal center just left of center. Such an intense mononuclear infiltrate could be seen early in Sjogren's syndrome, an autoimmune disease that involves salivary glands (with xerostomia) and lacrimal glands (with xerophthalmia). |