
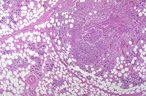
| Obstruction of salivary gland ducts from lithiasis or inspissated secretions predisposes to infection. An acute parotitis is seen here, with neutrophils infiltrating the parotid gland and an abscess around a duct at the upper right. The elderly are more prone to develop this problem. |
![]() |