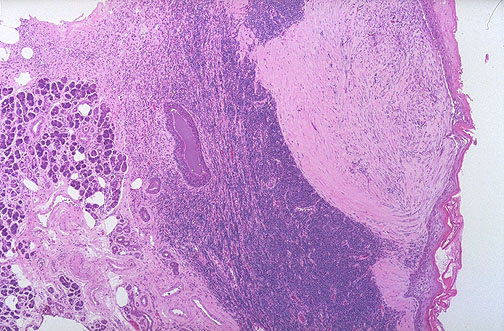
Here is a benign lymphoepithelial cyst of salivary gland. These are typically unilateral and unilocular cysts involving the parotid gland. The cyst is well-demarcated from surrounding salivary gland.