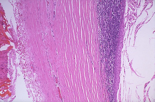
Microscopically, branchial cleft cysts are lined by benign stratified squamous epithelium and are often surrounded by lymphoid tissue, as seen here.