
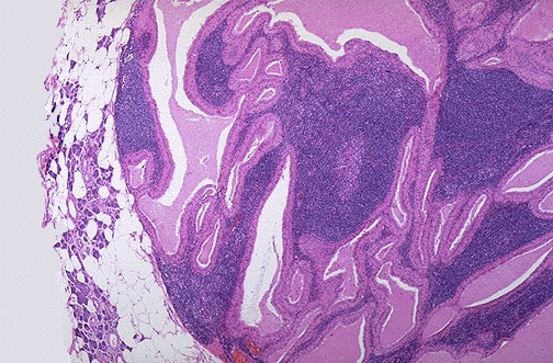
| Here is a "purple cow" or a lesion with a very distinctive histologic appearance. This is the low power microscopic pattern of a benign papillary cystadenoma lymphomatosum, or Warthin tumor, of salivary gland. A rim of compressed normal parenchyma is seen at the left. This is the second most common salivary gland tumor. It is almost always found in the parotid gland, is much more common in males, and in some cases can be multifocal or bilateral. |
![]() |