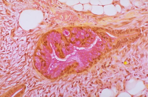
The cytoplasm of the cells lining this neoplastic gland in a colonic adenocarcinoma are pink with the mucicarmine stain, indicative of mucin production typical for an adenocarcinoma at this site.