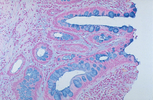
The goblet cells of the gastrointestinal tract are filled with abundant acid mucin and stain pale blue with this Alcian blue stain.