
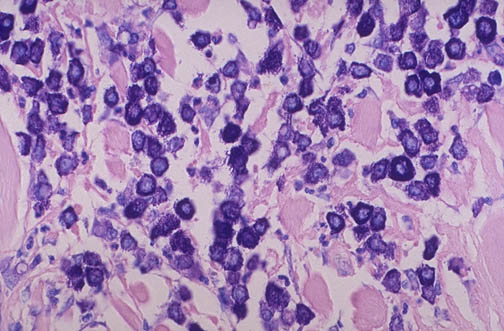
| Mast cells are apparent in the upper dermis in this section of skin because their cytoplasmic granules stain metachromatically, giving them the intense purple color seen here. In the view below, the metachromatically staining mast cells are more numerous around blood vessels in the dermis. A higher power view is seen below |
|