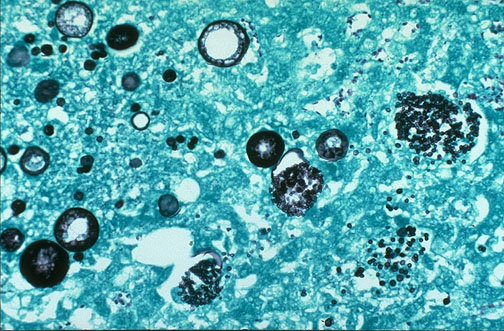
GMS stain for Coccidoides immitis.