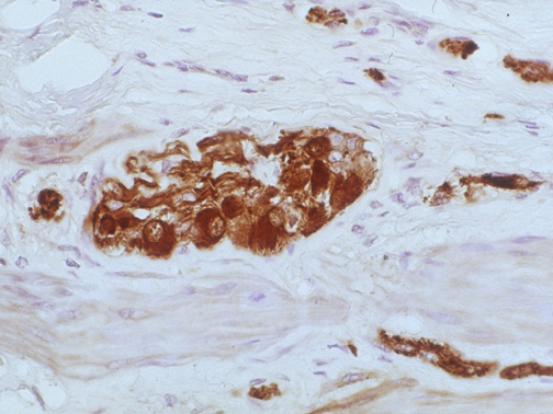
The submucosal plexuses with ganglia are seen here in the colon with immunohistochemical staining for S-100, a marker of neuronal differentiation. This stain also highlights small nerves .