
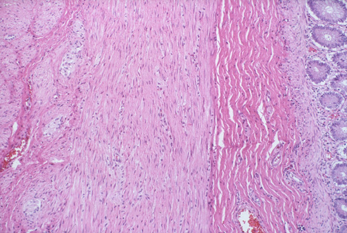
| The myenteric plexuses with ganglia are seen here in the colon. These myenteric (Auerbach's) plexuses are located between the outer longitudinal and the inner circular muscle layers. The mucosa is seen at the far right, beneath which is a thin muscularis mucosa , and beneath that a submucosa. |