
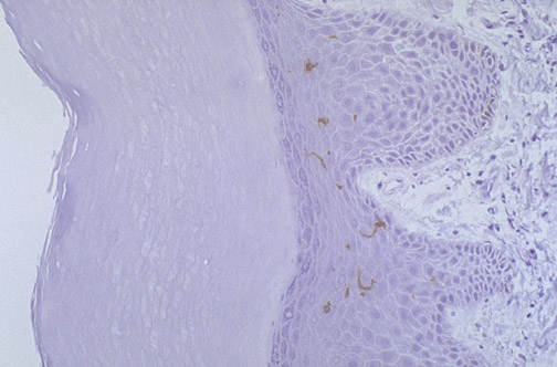
| The long processes of a form of dendritic cell known as a Langerhans cell are seen here with antibody to CD-1 in this section of skin viewed at medium power. Dendritic cells function as the "goalkeepers" of the immune system, reaching out their long arms (processes) to capture antigens to present to lymphocytes. Langerhans cells are present in skin and mucosal surfaces. |