
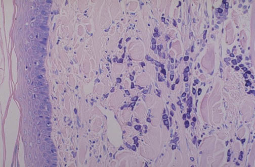
| A giemsa stain demonstrates numerous mast cells in the dermis of the skin. The mast cells contain numerous purple granules; the granules contain many substances, including vasoactive amines such as histamine, which are released upon activation and degranulation of the mast cells to cause immune responses. The granules demonstrate the property of "metachromasia" (change in color) because the dye is blue but the granule color is purple. |