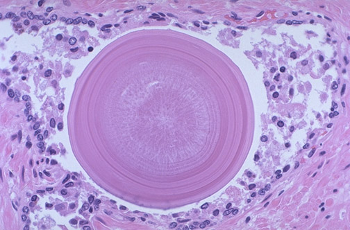
This high power micrograph demonstrates one of many corpora amylacea wich can be found within the lumens of prostate glands. Note the laminated appearance.