
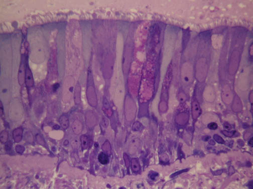
| This high power micrograph with toluidine blue stain illustrates the cilia of the pseudostratified respiratory tract mucosa. The water layer in which the cilia beat beneath the mucus is seen. The basement membrane anchoring the epithelial cells is visible. |