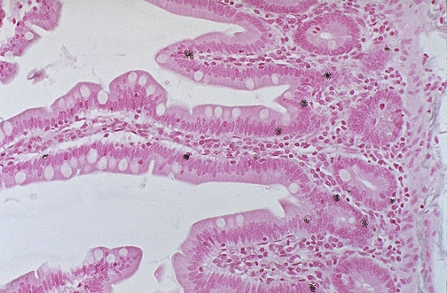
In various tissues of the body can be found cells derived from neural crest that have migrated to locations in which they provide some form of neuroendocrine function. Kulchitsky cells of the gastrointestinal tract are examples.