
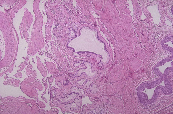
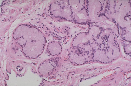
| The bulbourethral (Cowper's) gland is a paired structure about 0.5 cm in size located on either side of the urethra in the urogenital diaphragm below the prostate in males, consisting of small mucinous glands surrounded by bulbocavernosus muscle and draining via a duct lined by cuboidal to transitional epithelium into the urethra. These glands supply mucinous secretions. A higher power view is seen below. |