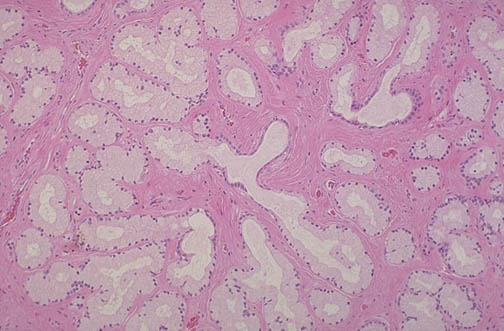
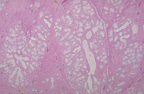
The mucinous glands seen here make up the Bartholin's gland in the wall of the vagina. This small gland is about 1 cm in size and the secretions drain via a duct lined by cuboidal to transitional epithelium. A higher power view is seen below.