
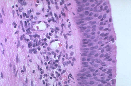
| Beneath the pseudostratified columnar epithelium lining the lumen of the trachea in the upper respiratory tract in the submucosa are plasma cells which secrete mainly IgA to aid in mucosal defense against pathogens that are inhaled into the respiratory tract and trapped by the mucociliary apparatus. |