
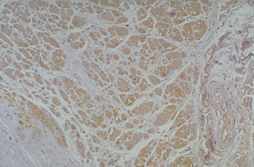
| The cardiac conduction system is difficult to see histologically in humans, consisting of specialized myocardial fibers that conduct electrical impulses more readily than surrounding myocardial fibers. The more neural features of these fibers is brought out by this S100 immunohistochemical stain, which highlights the AV node above in cross section. Below, at high magnification darker red brown color of the smaller, more irregular specialized conduction fibers is apparent, compared to the adjacent myocardial fibers. |