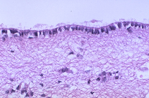
The ependymal lining of the cerebral ventricles consists of a single layer of cuboidal to columnar cells with cilia.