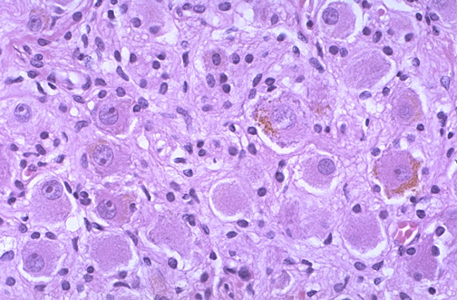
This is a peripheral ganglion with
nerve cell bodies
and surrounding
satellite cells
and interstitial
fibroblasts
. The nerve cell bodies have fine pink Nissl granules, and some nerve cells display light brown
lipochrome pigment
in their cytoplasm.