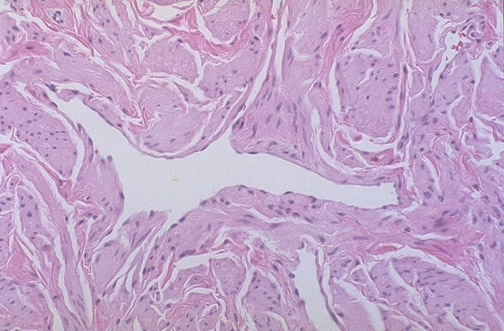
At high magnification is seen the trabecular pattern of cavernous veins of penile erectile tissue of the corpora cavernosa, with irregular vascular channels surrounded by collagen, elastic fibers, and smooth muscle.