
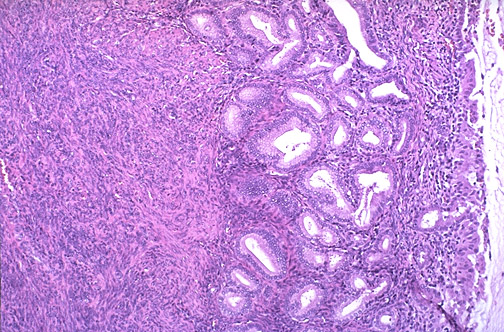
| At low power the uterus has a superficial columnar layer of cells, seen here overlying a stratum basalis layer with developing proliferative phase endometrium. The myometrium composed of smooth muscle bundles is below the endometrial layer which lines the central endometrial cavity of the uterus. |