
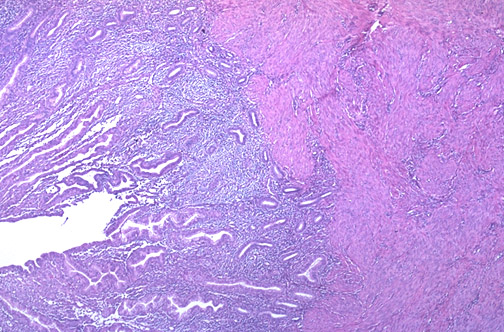
| At low power the uterus has a myometrium composed of smooth muscle bundles supporting the basalis layer of endometrium from which the endometrium regenerates with each menstrual cycle. Above the basalis is the functionalis layer, seen here as secretory phase endometrium. |