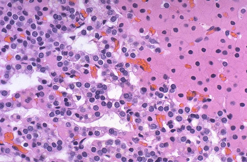
At high magnification can be seen the chief cells as well as the oxyphil cells of the parathyroid. Like all endocrine tissues, hormones are secreted directly into the bloodstream (not into a duct), so the tissue is quite vascularized.