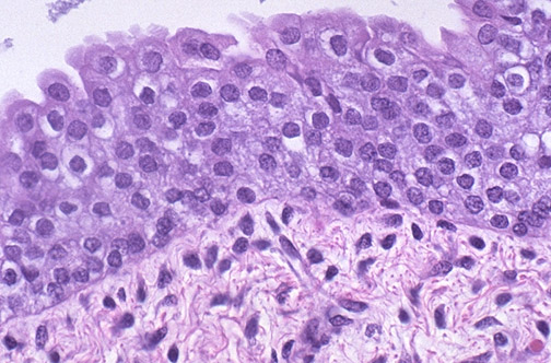
The appearance of normal transitional epithelium with an underlying basement membrane is seen here lining the bladder at high magnification. The most superficial layer of cells (the "umbrella cell" layer) is quite distensible.