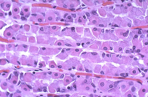
The gastric fundal epithelium has long tubular glands that are lined by pink-staining
parietal cells
as well as
mucus cells
.