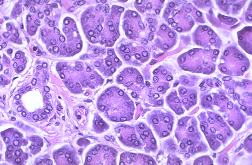
At high magnification, the acini of the pancreatic parenchyma can be seen. A small intralobular duct is present as well.