
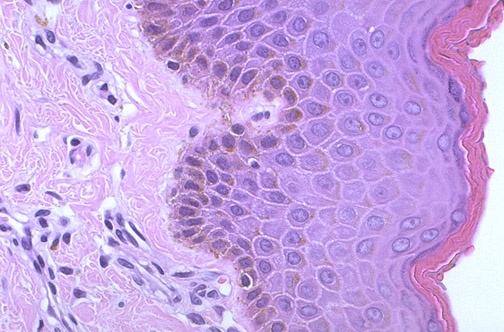
| At high magnification, the skin has an overlying keratin layer that desquamates, the stratum corneum. Beneath this is the nearly indistinguishable thin, darker red stratum lucidum. The outer layer of epidermal cells has prominent purplish cytoplasmic granules and is called the stratum granulosum. Below this is the thickest layer, the stratum spinosum with polyhedral cells that have prominent intercellular bridges. A basal layer of cells rests on a basement membrane. In this particular section, there is also prominent brown melanin pigmentation. The upper papillary dermis has blood vessels. |